¡¡¡¡
ÍíÆÚθ/θʳ¹ÜÍŽᲿ°©£¨Gastric and gastroesophageal junction cancer£¬G/GEJC£©ÓÉÓÚ×ÔÉíÌØÓеÄÖØ´óÐÔºÍÒìÖÊÐÔ£¬ÏÖÔÚÒ»Ïß±ê×¼ÖÎÁÆÈÔÈ»ÊÇÈ«Éí»¯ÁÆ¡£
Ëæ×ÅÏà¹ØÁÙ´²Ñо¿µÄÉîÈ룬ͨ¹ý¼ì²âHER2¡¢PDL1¡¢Claudin18.2¡¢MMRµÈÉúÎï±ê¼ÇÎïµÄÂѰױí´ï£¬»¯ÁÆÍŽá°ÐÏòÖÎÁÆÒÑÏÔÖø¸ÄÉÆ²¿·ÖÍíÆÚG/GEJC»¼ÕßµÄÔ¤ºó¡£ºÃ±È£º¹ØÓÚHER2ÑôÐÔµÄG/GEJC»¼Õߣ¬ÍƼöÇúÍ×Öéµ¥¿¹+ÅÁ²©ÀûÖéµ¥¿¹¡¢ÍŽá·úÄòà×à¤+°ÂɳÀû²¬Îª»ù´¡µÄ»¯ÁƼƻ®£»¹ØÓÚHER2ÒõÐÔµÄG/GEJC»¼Õߣ¬ÍƼöÔÚ»¯ÁÆ»ù´¡ÉÏ£¬ÁªÓÃÄÉÎäÀûÓȵ¥¿¹»òÅÁ²©ÀûÖéµ¥¿¹£»¹ØÓÚ¾Ö²¿ÍíÆÚ¡¢²»¿ÉÇгý»ò×ªÒÆÐԵġ¢HER2ÒõÐÔ¡¢²¢ÇÒClaudin18.2ÑôÐÔµÄG/GEJC»¼Õߣ¬ÍƼö×ôÍ×Îôµ¥¿¹Ó뻯ÁÆÁªÓá£
¡¡¡¡FGFR2b£¨Fibroblast growth factor receptor 2 isoform IIIb£¬FGFR2b£©ÊÇÒ»ÖÖÐÂÐ˵ÄÒ©ÎïÖÎÁưе㣬ÔÚθ/θʳ¹ÜÍŽᲿ°©¡¢·ÇСϸ°û·Î°©¡¢ÈéÏÙ°©¡¢Âѳ²°©µÈ¶àÖÖʵÌåÁöÖоù¿É¹ý±í´ï¡£Ëæ×ÅÁÙ´²Ñо¿µÄÍÆ½ø£¬ÁÙ´²Ò½ÉúºÍ²¡ÀíÒ½Éú¶ÔFGFR2bµÄ¹Ø×¢¶ÈÓëÈÕ¾ãÔö¡£Í¨¹ýÃâÒß×黯·¨¼ì²âFGFR2bÂѰױí´ï£¬Ê¹ÍíÆÚG/GEJC»¼ÕßÓÐÍûÑ¡Ôñ±´ÂêÍ×Öéµ¥¿¹¾ÙÐÐÖÎÁÆ¡£
¡¡¡¡FGFR2bÔÚG/GEJCÄÚµÄÂѰױí´ï¾ßÓÐÒìÖÊÐÔ¡£ÓÐ56%µÄG/GEJCÔ·¢ÔîÄÚFGFR2b±í´ï±£´æÒìÖÊÐÔ£¬²¢ÇÒ×ªÒÆÔîÄÚFGFR2b¹ý±í´ï±ÈÀýÏÔÖø¸ßÓÚÔ·¢Ô75%vs 47%£©¡£Òò´Ë£¬ÎªÁ˽µµÍ¼ÙÒõÐÔÂÊ£¬ÁÙ´²Êµ¼ùÖн¨Òé¶àµã»î¼ì£¨6-8µã£©¡£
¡¡¡¡ÓÉÓÚºã¾Ãȱ·¦±ê×¼»¯µÄ¼ì²âÒªÁìºÍÆÀ·Ö±ê×¼£¬FGFR2bµÄÑôÐÔÂʲ¨¶¯ºÜ´ó£¨3-38%£©£¬ÆÀ·ÖЧ¹û½â¶ÁÄÑÌâ¡£×î½ü£¬ÔÚFORTITUDE-101 3ÆÚÁÙ´²Ñо¿ÖУ¬FGFR2bÂѰױí´ïÅжÁÎÊÌâ»ñµÃÁËÍ»ÆÆÐÔ½â¾ö¡£¸ÃÑо¿ÍøÂçÁËÈ«Çò37¸ö¹ú¼Ò3782Àýθ°©Ñù±¾£¬ÃâÒß×黯ȾɫЧ¹ûÏÔʾ£¬Ô¼38%θ°©±£´æFGFR2bÂѰ׹ý±í´ï£¨2+/3+Ö×Áöϸ°ûϸ°ûĤȾɫ£©¡£ÈôÊǽ«ÑôÐÔãÐÖµÉèΪ≥10%£¬Ôòθ°©ÖÐFGFR2bÑôÐÔÂÊԼΪ16%¡£²¢ÇÒ£¬FGFR2b±í´ïË®Æ½ËÆºõ²»ÊÜÄêËê¡¢ÐÔ±ð¡¢ÊÕÂÞÒªÁì¡¢ÊÕÂÞ²¿Î»¡¢Ô·¢Ö×ÁöλÖûòµØÀíÇøÓòµÄÓ°Ïì¡£
¡¡¡¡ÏÂÃæÎªÎ¸°©×éÖ¯ÖÐFGFR2b±í´ïµÄ´ú±íÐÔ £º
¡¡¡¡Í¼1 FGFR2bÒõÐÔ
¡¡¡¡ 
¡¡¡¡Í¼2²¿·Öϸ°ûĤFGFR2bÈõÑôÐÔ
¡¡¡¡ 
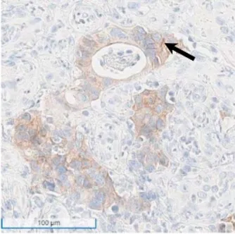
¡¡¡¡Í¼3 FGFR2b³ÊÈõÖÁÖеÈÇ¿¶ÈµÄ¡¢ÍêÕû»ò²¿·ÖĤȾɫ
¡¡¡¡ 
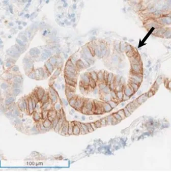
¡¡¡¡Í¼4ϸ°ûĤ³ÊFGFR2bÇ¿ÑôÐÔ±í´ï
¡¡¡¡ 
¡¡¡¡²Î¿¼ÎÄÏ×
¡¡¡¡[1]Watson AS,Le C,Wertheimer A,et al.Precision Detection of FGFR2b Protein Expression in Solid Tumors:A Comprehensive Assessment of Staining Parameters via Automated Immunohistochemistry.Arch Pathol Lab Med.Published online May 6,2025.doi:10.5858/arpa.2024-0497-OA.
¡¡¡¡[2]Smyth EC,Kim KM,Rha SY,et al.FGFR2b protein overexpression:An emerging biomarker in gastric and gastroesophageal junction adenocarcinoma.Cancer Treat Rev.Published online May 26,2025.doi:10.1016/j.ctrv.2025.102971.
¡¡¡¡[3]Rha SY,Zhang Y,Elme A,et al.Prevalence of FGFR2b Protein Overexpression in Advanced Gastric Cancers During Prescreening for the Phase III FORTITUDE-101 Trial.JCO Precis Oncol.2025;9:e2400710.doi:10.1200/PO-24-00710.













































ÔÁ¹«Íø°²±¸ 44030602000441ºÅ 